股関節の痛みは、変形性股関節症や大腿骨骨頭壊死、臼蓋形成不全、ペルテスなど骨関節変化のある場合と全くそれのない場合があります。日常でよくみられる股関節の痛みは単純性の股関節炎、股関節周囲炎や、腱炎、滑液包炎などが多いです。
稀にサッカーなどでボールを強く蹴った際に、骨盤から起始している大腿直筋での剥離骨折があるので注意が必要です。
股関節の痛みの原因は様々です。股関節自体、周囲の筋肉の緊張、脊椎・骨盤の歪み、内臓変位によって起きることがあります。股関節特有の突き刺すような痛みを訴えるケースが多いです。そのようなときは内臓、脊椎や骨盤、股関節に関連する筋肉を施術することで股関節の負担がなくなり症状は消えていきます。
変形性膝関節症、鵞足炎、タナ障害、膝蓋軟骨軟化症、離断性骨軟骨炎、十字靭帯損傷、半月板損傷、靭帯損傷、スポーツ障害、成長痛(オスグット)などたくさんありますが一般的に膝の痛みで年配の方に多いは変形性膝関節症でしょうか?
歩行や運動時に痛み、だるさ、腫脹、可動域制限などの症状があります。
これは膝自体にも炎症があり、また同時に太ももの筋肉によって膝の関節同士が引き寄せられてしまっていることが多いです。そういう状態になってしまうには膝だけでなく足首や股関節・骨盤に問題があることがあります。膝に痛みがある時でも足から身体全体を施術して膝に負担のかからない身体を作ることによって膝関節の水腫も早期に引いて再発しにくくなります。
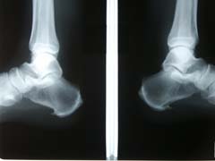
足の痛みにも踵骨棘、足底腱膜炎、種子骨障害、アキレス腱炎、アキレス周囲炎、有痛性外脛骨、モートン病、足根管症候群、外反母趾などたくさんのものがあります。その中でも日常でみられるのは踵骨棘・足底腱膜炎です。
また、レントゲンを撮ってみると踵の骨のところに棘のようなものがありそれが原因で痛みがでている時があります。
朝に痛みが出やすい。歩行痛、足底にしびれ、踵の底が腫れたり、肥厚して硬くなってきたりします。
踵や足裏に症状が出るときは足底やふくらはぎの筋肉がうまく使えてなかったりして固くなり緊張をおこしてしまうことがあります。また足底の筋肉はふくらはぎ→太もも(裏)→腰・背中・首・頭と筋膜で繋がっているため、身体の後面のどこかの場所の緊張によって引っ張られて起きるケースもあります。また足首の関節が繰り返す衝撃によって機能しなくなってでることもあります。

〒347-0015 埼玉県加須市南大桑2815-1
アクセス:県道152号沿い。
平成中学校、コンビニ隣接
駐車場:4台あり